
Recently, the changes in supercoiling formation of mitochondrial DNA (mtDNA) after ionizing radiation has been revealed by researchers in the Medical Radiation Group at Institute of Modern Physics, Chinese Academy of Sciences (IMP).
mtDNA is the unique genetic material out the nucleus, changes in mitochondrial formation may affect mitochondrial function and eventually lead to the alteration of cell fate.
Traditional method employ specific foci such as γH2AX, P53BP1 is often impacted by the statue of cytokines, which are involved in DNA damage repair. This means that the interpretation of DNA damage by such protein foci could not be accurate in some cases. Additionally, this method cannot be applied on mtDNA damage assay.
This study evaluated mtDNA damage and supercoiling formation change after X-irradiation. The human breast cancer cell line MCF-7 cells were used for analysis. Modified supercoiling-sensitive real-time PCR approach was used to evaluate mtDNA supercoiling formation change and copy number; long-PCR method was applied for the quantification of mtDNA damage. MtDNA damage and formation change induced by high-dose irradiation were persistent in 24h after irradiation and not significant after low-dose irradiation. MtDNA copy number was slightly increased after high-dose irradiation and a transit increase was observed after low-dose irradiation.
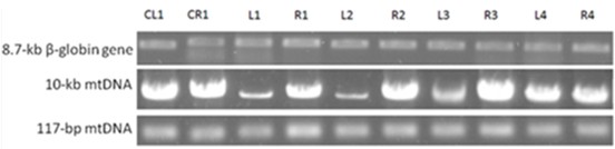
As shown in Fig.1, the long PCR method is proved to be reliable for analysis of dose-dependent effect of radiation-induced mtDNA damage. By using real-time PCR, the supercoiling formation changes after ionizing radiation are also investigated (Fig.2). Additional biological endpoints such as ROS generation, mitochondrial mass were measured to determine the mitochondrial effect after ionizing radiation.
This is the first study to evaluate radiation-induced mtDNA supercoiling formation change using real-time PCR. Combined with data of ROS generation and dynamics of mitochondrial mass, the findings suggested that mtDNA is sensitive to radiation hazards, indicating mitochondrial biogenesis plays an important role in radiation-induced cellular response.
Changes in mtDNA supercoiling formation not only indicate the amount of single strand breaks and double strand breaks, but also reflect the changes in mtDNA transcription and replication. It is an important endpoint for mitochondrial function.
There have been a small number of reports of radiation-induced mtDNA damage, and mtDNA supercoiling formation change induced by ionizing radiation has not been investigated before. This finding will provide further evidence for the discovery of mitochondrial function in radiation biology.
This work has been published on Mitochondrion 2011; 11(6):886-892
WebLink: http://www.ncbi.nlm.nih.gov/pubmed/21835270

Fig.1 Evaluation of nDNA and mtDNA damage after ionizing irradiation using Long PCR (Image by IMP)

Fig.2 The effect of DNA damage on mtDNA real-time PCR quantification (Image by IMP)
86-10-68597521 (day)
86-10-68597289 (night)
52 Sanlihe Rd., Xicheng District,
Beijing, China (100864)